Looping Network Meetings
#56
June 10, 2024
Tatyana Gavrilchenko
Lessons from the tracheal terminal cell: what a unicellular network can teach us about distribution network design principles
#55
June 3, 2024
Łucja Kowalewska
Bicontinuous membranes of plant plastids - where biology meets geometry
#53
May 21, 2024
Working group
Pattern formation in biomineralization: morphogenesis of diatoms
#50
April 15, 2024
Judy Yang
Multiscale biota-sediment-flow interactions and their global environmental impacts
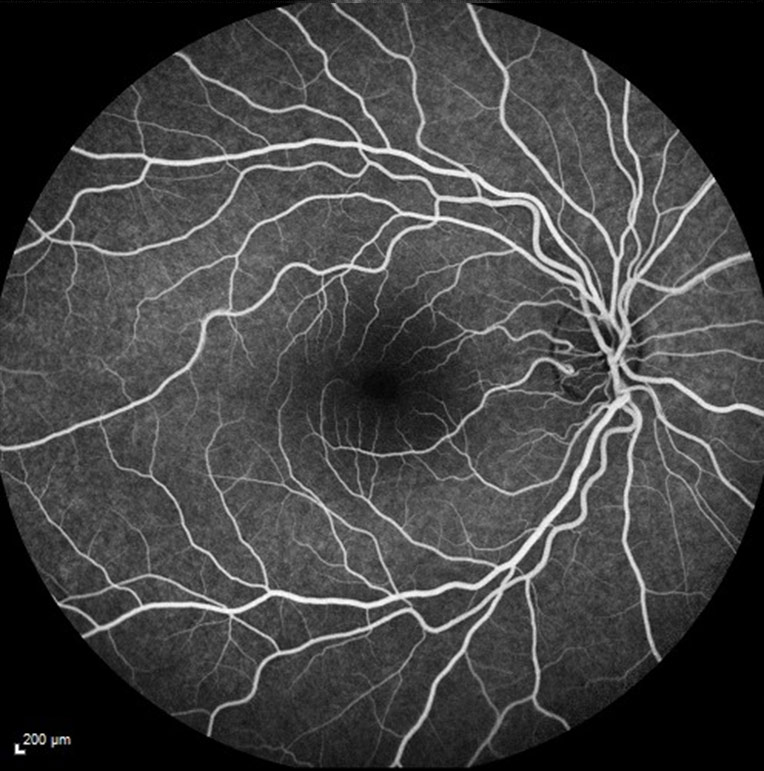
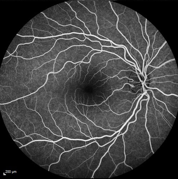
#46
January 29, 2024
Laureline Julien
Microvascular network of the retina : 1D-model, microfluidic device and high resolution data.
Head image credits (from top left):
(1) Corentin Bisot and Loreto Oyarte Galvez,
(2) Claire Lagesse,
(3) Stéphane Douady,
(4) Stanisław Żukowski,
(5) Przemysław Prusinkiewicz,
(6) Andrea Perna,
(7) John Shaw (Google Earth),
(8) Justin Tauber,
(9) Marc Durand.
Contact: s.zukowski [at] uw.edu.pl






